Dicas e Artigos
Mordida errada em crianças: Prevenir e Tratar é possível

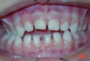
Em contraste, outro grande problema tem sido muito freqüente: a má-oclusão ou mordida errada. A mordida errada ocorre em cerca de sete entre dez crianças. E já podemos encontrá-la nessa proporção em crianças com dentes de leite. A mordida errada, que inicia na infância, pode se tornar muito agravada na adolescência. E a mordida errada prejudica a qualidade de vida em qualquer idade.
A mordida errada, desde a tenra infância, pode afetar a estética e as funções orofaciais (da boca) influenciando, portanto, no bem-estar psicológico e social da criança. A qualidade de vida na Odontologia possui três componentes: redução da dor, melhora da estética e melhora da função mastigatória. As crianças precisam receber integralmente essa proteção.
A boa notícia é que, assim como as grandes conquistas na prevenção das cáries, a Odontologia dispõe de uma especialidade voltada à prevenção e tratamento da mordida errada que inicia na infância. A especialidade chama-se Ortopedia Funcional dos Maxilares ou OFM. Aliada à Odontopediatria, a OFM completa um arsenal de poderosos recursos para cessar o problema da mordida errada no seu início.
O Ortopedista Funcional dos Maxilares vigia cada etapa do desenvolvimento da dentição sempre com objetivo de proporcionar a construção de um belo sorriso. Muitas vezes, a mordida errada pode ser resolvida com medidas simples sem o uso de aparelhos. O especialista em OFM usa uma técnica chamada Ajuste Oclusal, confeccionando Pistas sobre os dentes. Não dói nada, e pode liberar a criança do dentista em duas consultas ou em até seis meses.
Em outras situações, o especialista em OFM poderá usar, além do Ajuste Oclusal, Aparelhos Ortopédicos Funcionais. Esses aparelhos corrigem todo tipo de mordida errada na infância. Além disso, melhoram a estética do rosto, auxiliam a respiração pelo nariz, melhoram a forma de engolir, falar e mastigar. O tratamento, nesses casos, poderá ser mais extenso, mas da mesma forma que o Ajuste Oclusal, o uso de Aparelhos Funcionais jamais envolvem dor. Além disso, os aparelhos são super coloridos, o que aumenta o interesse das crianças pelo tratamento. Os aparelhos funcionais são removíveis e permitem total higiene dos dentes.
Assim como na prevenção das cáries, a modificação dos hábitos alimentares parece ser importante na prevenção da mordida errada. Seguem orientações que, se forem adotadas desde o nascimento, poderão ter impacto significativo para evitar a formação da mordida errada.
Do nascimento até o aparecimento dos primeiros dentes de leite: amamentar exclusivamente no peito é suficiente para saúde geral do bebê e um excelente estímulo para o desenvolvimento da boca. Deve-se evitar a sucção fácil como o uso de mamadeiras, o uso de chás, bem como a introdução de outros alimentos. Em caso de impedimento do aleitamento natural, usar o copo.
Até completar todos os dentes de leite (cerca de dois anos e meio de idade): Com o desmame natural fazer a introdução gradativa de alimentos sólidos com variada textura, sabor e cor, aumentando gradativamente sua consistência, optando por alimentos mais fibrosos que exijam esforço mastigatório como vegetais. Evitar o uso de líquidos durante as refeições.
Até o aparecimento do primeiro molar permanente (cerca de seis anos de idade): oferecer fartamente alimentos ricos em fibras, frutas, verduras, cereais, restringindo o uso de bebidas altamente calóricas como refrigerantes gasosos e sucos adoçados.
Outro fator importante ligado ao estabelecimento e agravo da mordida errada, gerador de uma deterioração geral na qualidade de vida da criança, é a respiração pela boca. A respiração pela boca deve ser tratada e controlada por um médico e o seu tratamento jamais deve ser postergado. Segue uma relação de alguns tipos de mordida errada que podem ser corrigidos na infância com técnicas ortopédicas funcionais: mordida aberta, mordida cruzada, queixo para trás, queixo para frente, queixo desviado para o lado, dentes tortos, falta de espaço para os dentes, sorriso gengival.
Todo cirurgião-dentista está habilitado a orientar a família e seus pacientes para busca de auxílio oportuno na correção da mordida errada. Porém, cabe ressaltar que no tratamento da mordida errada a tradicional orientação “tem de esperar” está ultrapassada e deve ser substituída por uma nova visão que se resume em: Acompanhar o desenvolvimento equilibrado, ao invés de acompanhar o agravamento do desequilíbrio.
DrªSimone Faria Rossi « Voltar